DO MY CHILD NEED BRACES
SAY NO TO ALL ON ONE FIX
There is no single appliance for all problem
BEWARE OF ONLINE MYO FUNCTIONAL APPLIANCE

At Siya Dental Clinic, we believe in not only treating dental issues but also educating our patients about habits that can affect their oral health. Abnormal dental habits, if left unchecked, can lead to significant dental problems over time. Here’s what you need to know about these habits and how we can help you manage them.
Common Abnormal Dental Habits
Description: Grinding or clenching your teeth, often unconsciously, especially during sleep.
Effects: Wears down enamel, causes tooth sensitivity, and can lead to jaw pain and headaches.
Solutions: Custom-made night guards, stress management techniques, and regular dental check-ups to monitor tooth wear.
Description: Biting your nails, often as a response to stress or boredom.
Effects: Can chip teeth, affect jaw alignment, and introduce bacteria into the mouth.
Solutions: Behavioral therapies, use of bitter-tasting nail polish, and dental advice on maintaining oral hygiene.
Description: Common in young children, this habit involves sucking on the thumb or fingers.
Effects: Can cause misalignment of teeth, changes in the roof of the mouth, and improper bite formation.
Solutions: Positive reinforcement to stop the habit, orthodontic evaluation if necessary, and guidance from a pediatric dentist.
Description: Habitual chewing on pens, pencils, or other non-food items.
Effects: Can damage tooth enamel, cause chips or cracks, and wear down teeth.
Solutions: Identifying triggers for the habit, using healthier alternatives like sugar-free gum, and dental assessments to check for damage.
Description: Pushing the tongue against the teeth while swallowing or speaking.
Effects: Can cause improper alignment of teeth and affect speech development.
Solutions: Myofunctional therapy, orthodontic intervention, and guidance from speech therapists.
Description: Using teeth to open bottles, tear packages, or perform other tasks.
Effects: Can cause chips, cracks, and wear on the teeth.
Solutions: Educating on the risks, suggesting alternative tools, and regular dental check-ups to monitor any damage.
At Siya Dental Clinic, we offer comprehensive solutions to address and correct abnormal dental habits:
Expert Guidance: Our team of experienced dentists provides personalized advice and strategies to help you break harmful habits.
Preventive Care: We focus on prevention and early intervention to mitigate the effects of these habits on your dental health.
Advanced Treatments: Utilizing the latest techniques and treatments, we address any dental damage caused by abnormal habits.
Patient Education: We believe in empowering our patients with the knowledge and tools needed to maintain optimal oral health.
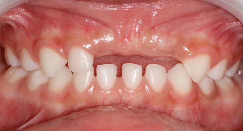
Here are some reasons why your child may need braces



HABIT BREAKERS |FOR ABOVE ABNORMAL HABITS

tongue spike

oral screen

tongue spike
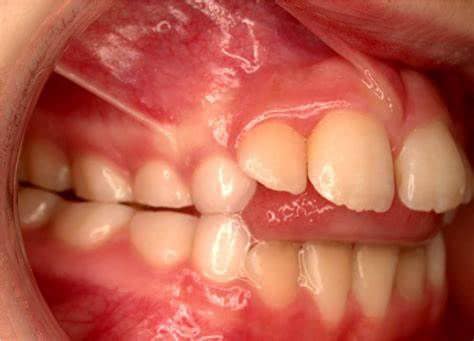
Crowding or misplaced teeth
His or her adult teeth are coming in in places where they shouldn’t be, like crowding ,out of arch or in place of other teeth.

Treatments for crowding tooth available.
And you will want to learn the right age to check your child’s crowded teeth because the timing is important.




EARLY LOSS OF DECIDUOUS

Your child may have lost some baby teeth earlier than what is considered normal and other teeth have come in the remaining space resulting in crowd
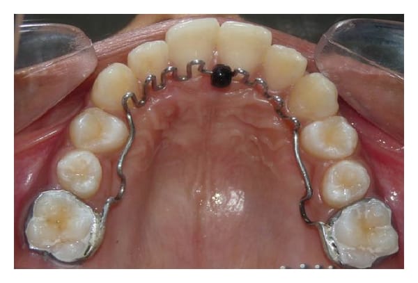
SPACE MAINTAINERS
Your child’s primary (also known as baby) teeth generally fall out around when their permanent (also known as adult) teeth are ready to come in. This proximity in time helps provide a proper path for the erupting permanent tooth, ensuring your child’s tooth comes in properly and that their bite is aligned.
When one or more of their primary teeth fall out early from injury or other causes, there’s a resulting gap between their teeth that can potentially cause dental problems if left untreated.
Natural forces in the mouth, like pressure from chewing and biting, can move the surrounding teeth out of position and create issues for the permanent tooth that will erupt in the missing spot.
Enter space maintainers. These helpful dental devices help maintain the space (get the name now?) where your child’s primary tooth was lost early. This ensures that the surrounding teeth are not affected and can keep proper distance and alignment, giving the erupting tooth the best chance to grow properly.



JAW DISCRIPENCY IN KID
Need to be treated as soon as possible lesser than 10 YEARS OR earlier which ever is ideal
Treating Retrognathic Maxilla and Mandible in Children|simple before 10
At Siya Dental Clinic, we specialize in addressing retrognathic conditions in children to ensure proper jaw alignment and optimal dental development.
Understanding Retrognathia
Retrognathic Maxilla: The upper jaw (maxilla) is positioned too far back relative to the lower jaw.
Retrognathic Mandible: The lower jaw (mandible) is positioned too far back relative to the upper jaw.
Our Treatment Approach
1. Early Assessment:
Consultation and Diagnosis: During routine check-ups, we assess jaw alignment and diagnose retrognathia using dental impressions, X-rays, and photos.
2. Growth Modification:
Functional Appliances: We use appliances like headgear, face masks, or functional appliances to guide the growth of the jaws into proper alignment.
Twin Block Appliances: These are used to correct both upper and lower jaw positions by encouraging forward growth of the mandible.
3. Orthodontic Interventions:
Phase I Orthodontics: Early braces or other orthodontic treatments may be used to guide the teeth and jaws into better alignment during growth spurts.
4. Regular Monitoring:
Follow-Up Visits: Regular appointments to monitor progress and make necessary adjustments to appliances or treatment plans.
Parental Guidance: Providing parents with instructions on appliance care and ensuring good oral hygiene.
5. Comprehensive Care:
Team Approach: Collaboration with orthodontists and, if necessary, oral surgeons to provide comprehensive care and plan for any future treatments.
Early Correction Benefits
Before Age 8: These conditions are easily corrected before age 8 in most cases.
Short Treatment Duration: Often resolved within 6 months.
Preventing Later Issues: Early treatment prevents later-stage facial abnormalities and the need for surgery




Need Prompt Early Intervention
Narrow jaw
Treating Narrow Dental Arches in Children
At Siya Dental Clinic, we provide effective solutions for narrow dental arches in children to ensure proper dental development.
What is a Narrow Dental Arch?
A narrow dental arch is when the upper or lower jaw is too narrow, causing crowded or misaligned teeth.
1. Early Assessment:
Consultation and Diagnosis: During routine check-ups, we assess and diagnose narrow arches using dental impressions, X-rays, and photos.
2. Expansion Devices:
Palatal Expander: Widens the upper arch gradually.
Lower Lingual Holding Arch: Creates space in the lower arch.
3. Regular Monitoring:
Follow-Up Visits: Regular check-ups to monitor progress and make adjustments.
Parental Guidance: Instructions for at-home care and hygiene.
4. Functional Appliances:
Orthopedic Appliances: Correct bite issues and improve jaw alignment.
5. Phase I Orthodontics:
Early Braces: In some cases, braces are used early to align teeth and guide proper growth.













