Can a Damaged Tooth Be Restored?
Introducing Our Heroes: Dental Posts, Crown Lengthening, and Deep Margin Elevation
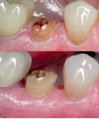
The Hope for Severely Damaged Teeth
Imagine realizing that one of your teeth is severely damaged. Whether it’s due to decay, injury, or wear, a damaged tooth can affect not just your smile but your confidence and oral health too. The good news is, modern dentistry has solutions to restore even the most compromised teeth. One of the key solutions? The dental post.

What is |Dental Post
A dental post, also known as a post and core, is a type of restoration used to rebuild tooth structure so that it can support a crown. This technique is especially useful for teeth that have had root canal treatment and lost a significant amount of their structure.

Crown Lengthening|
Making Room for Restoration
Sometimes, there isn’t enough tooth above the gum line to hold a crown or other restoration. That’s where crown lengthening comes in. This procedure reshapes the gum tissue, and sometimes the bone, to expose more of the tooth’s structure. By carefully reshaping the gums and bone, dentists ensure there’s enough space for a secure and stable restoration.

Deep Margin Elevation: Adjusting the Restoration Margin
What if the part of the tooth that needs restoration is way below the gum line? Deep margin elevation is the technique used to lift the margin of the tooth above the gum line, making it accessible for proper restoration. This helps achieve a proper seal between the crown and the tooth, keeping bacteria out and ensuring the restoration lasts longer.

The Restoration Process:
Step by Step
1.Evaluation and Planning:
The dentist examines the damaged tooth and plans the treatment, including the need for a post, crown lengthening, or deep margin elevation.
2.Root Canal Treatment:
If the tooth’s pulp is damaged or infected, a root canal treatment is performed to clean and seal the canals.
3.Post Placement:
A post is inserted into the cleaned root canal. This post supports the core material, which rebuilds the tooth.
4.Crown Lengthening and Deep Margin Elevation:
If necessary, crown lengthening and deep margin elevation are performed to prepare the site for the final restoration.
5.Core Build-Up:
The dentist uses a core material to build up the tooth structure around the post.
6.Crown Placement:
Finally, a custom-made crown is placed over the rebuilt tooth, restoring its function and appearance.
The Result: A Strong and Beautiful Smile
By combining these advanced techniques, dentists can restore even severely damaged teeth. The use of dental posts, along with crown lengthening and deep margin elevation, ensures that the restoration is both functional and aesthetically pleasing. You can smile with confidence, knowing your tooth is strong and looks natural.
Conclusion: The Power of Modern Dentistry
Restoring damaged teeth has come a long way, thanks to advancements in dental technology and techniques. Dental posts, crown lengthening, and deep margin elevation are just a few of the methods that allow dentists to save teeth that might have been lost in the past. If you have a damaged tooth, talk to your dentist about these options and take the first step toward reclaiming your healthy, beautiful smile.
author:siyaram



