NEVER UNDERESTIMATE DENTAL ISSUE
பல்லு தானே பிரச்சனை இல்ல|தப்பு கணக்கு போற்றாதீங்க .

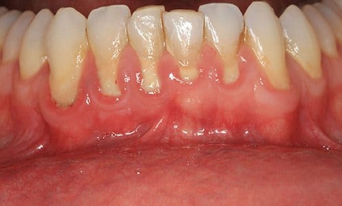
Neglecting Oral Hygiene Can Affect Your Health
Taking care of your oral health is vital for overall well-being. The mouth acts as a gateway to the body, and poor oral hygiene can lead to various health complications beyond dental issues.
Many people don’t realize the far-reaching effects of inadequate oral care. According to a survey, less than 31% of individuals floss daily, and nearly 19% never floss. This widespread neglect can lead to serious health problems.
Poor oral hygiene doesn’t just impact your mouth; it can have significant consequences for your entire body. Here are five critical ways it can affect your health:
1. Higher Risk of Heart Disease and Stroke
Gum disease can double your risk of developing heart disease and arterial blockages due to bacteria and plaque entering the bloodstream through your gums.
A study published in the Journal of Atherosclerosis and Thrombosis indicates that oral bacteria can contribute to inflammation and the narrowing of blood vessels, increasing the likelihood of heart attacks and strokes.
2. Greater Risk of Cognitive Decline
Tooth loss from poor oral hygiene can be associated with memory loss and an increased risk of cognitive decline.
Research featured in the Journal of the American Geriatrics Society suggests that gum disease and tooth loss are linked to higher rates of cognitive deterioration and dementia. Inflammatory agents from oral bacteria can damage brain cells, impairing cognitive functions.
3. Respiratory Complications
Bacteria from gum disease can enter the bloodstream and travel to the lungs, impacting respiratory health.
The Journal of Periodontology highlights that individuals with periodontal disease face a higher risk of respiratory conditions like bronchitis and pneumonia. The bacteria can aggravate or trigger respiratory issues.
4. Increased Diabetes Risk
There is a significant correlation between periodontal disease and diabetes, with a high percentage of diabetics also experiencing gum issues.
Research in Diabetes Care shows that people with diabetes are more vulnerable to infections, including periodontal disease. Poor oral health can further complicate blood sugar control and diabetes management.
5. Elevated Cancer Risk
Studies have found a link between periodontal disease and a higher risk of certain cancers.
According to research in The Lancet Oncology, men with gum disease are almost 50% more likely to develop kidney or pancreatic cancers, and 30% more likely to have blood cancers. Maintaining good oral hygiene may help reduce these cancer risks.
6.Risks of Premature Birth
Pregnant women with poor oral hygiene are at a higher risk of premature birth. Inflammation and infection from periodontal disease can affect the pregnancy and increase the risk of delivering before the full term.
A study published in The American Journal of Obstetrics and Gynecology found that women with periodontal disease are more likely to experience preterm labor. Bacteria from the gums can enter the bloodstream and reach the uterus, causing complications during pregnancy.
Neglecting your oral health can lead to several dental problems, including:
1.Plaque buildup
2.Tooth loss
3.Mouth sores
4.Gingivitis
5.Bad breath
6.Periodontal disease
Effective Oral Care Tips
Here are some effective strategies to maintain good oral health:
Replace your toothbrush every two months: This helps reduce bacteria on the brush.
Consume firm foods: Foods like apples and carrots can help clean your teeth naturally.
Conclusion
Proper oral hygiene is crucial not just for maintaining a healthy smile but also for overall health. Neglecting dental care can lead to severe and potentially fatal health issues.
If you have experienced previous oral health problems, exploring options like veneers might help improve your smile. Regular dental check-ups and effective oral care practices are essential for preserving both oral and overall health.

