Root canal treatment in nagercoil
What is |Root Canal Treatment
Root canal treatment, also known as endodontic therapy, is a dental procedure aimed at treating infection or damage within the tooth’s pulp, the soft tissue inside the tooth that contains nerves, blood vessels, and connective tissue. This treatment is designed to save a tooth that might otherwise need to be extracted.
When is Root Canal Treatment Needed?
A root canal is necessary when the tooth’s pulp becomes inflamed or infected due to:
1.Deep decay (cavities)
2.Repeated dental procedures on the tooth
3.Faulty crowns
4.Cracks or chips in the tooth
5.Trauma to the tooth
Symptoms Indicating the Need for a Root Canal
1,You might need a root canal if you experience:
2.Severe toothache pain upon chewing or application of pressure
3Prolonged sensitivity to hot or cold temperatures, even after the stimulus is removed
4.Discoloration (darkening) of the tooth
5.Swelling and tenderness in nearby gums
6.Persistent or recurring pimples on the gums
Steps Involved in|Dental Root Canal Treatment
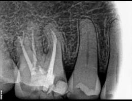
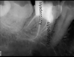
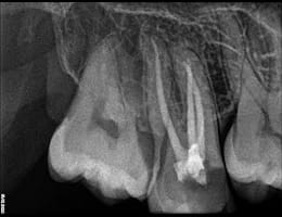
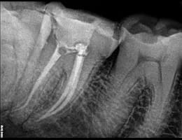
The dentist examines the tooth and takes X-rays to confirm the extent of infection or damage.
Local anesthesia is administered to numb the affected tooth and surrounding area.
A small opening is made in the crown of the tooth to access the pulp chamber.
The infected or damaged pulp is removed using specialized instruments. The root canals are then cleaned and shaped to ensure they are free of bacteria and debris.
The cleaned canals are filled with a biocompatible material, usually gutta-percha, to seal them and prevent future infection.
A temporary filling is placed in the access opening to protect the tooth between appointments.
Permanent Restoration:
After the root canal is completed, the temporary filling is removed, and a permanent restoration, such as a crown, is placed to protect and restore the tooth’s function.
After the root canal is completed, the temporary filling is removed, and a permanent restoration, such as a crown, is placed to protect and restore the tooth’s function.
Root Canal Treatment at Siya Dental Clinic
At Siya Dental Clinic, we take pride in offering state-of-the-art root canal treatments (RCT) that ensure your comfort and the best possible outcomes. Here’s what makes our RCT services exceptional:

OUR TECHNOLOGY
DIGITAL X RAY “RVG”
We invest in the latest imaging technologies like Carestream RVG IOPA to provide superior diagnostic capabilities.
Expert Analysis:
Our experienced dental team is skilled in interpreting RVG IOPA images, ensuring that any dental issues are accurately identified and addressed.
Patient-Centered Approach:
Your comfort and safety are our priorities. We make the imaging process quick, comfortable, and effective.


OUR TECHNOLOGY
Precision and Accuracy with Apex Locator
Apex Locator:
We use advanced apex locators to ensure precise measurement of the root canal length, enhancing the accuracy and success of your treatment.

files
High-Quality Files for Optimal Cleaning
Protaper Files: Known for their efficiency and flexibility, Protaper files allow us to clean and shape your root canals with precision.
Hiflex Files: These progressive and constant taper files adapt to the natural shape of your canals, ensuring thorough cleaning and shaping.
gutta core
Superior Filling Materials
GuttaCore: For the best sealing of the root canal system, we use GuttaCore, which provides a 3D fill and superior adaptation to the canal walls.
Lateral Condensation: This technique allows for a dense and well-sealed root canal filling, preventing reinfection and promoting long-term success.

Why Choose us for Your Root Canal Treatment?
State-of-the-Art Technology: We use the latest tools and techniques to provide you with the best care.
Expert Care: Our experienced dental professionals are committed to ensuring your comfort and the highest standards of treatment.
Comprehensive Approach: From precise measurements to thorough cleaning and effective sealing, we cover all aspects to guarantee a successful root canal treatment.
Patient-Centered Care: Your comfort and satisfaction are our top priorities. We make sure you understand every step of the process and feel at ease throughout your treatment.












